栖凤楼发布信息交流,一楼一凤论坛的最新消息今天,51龙凤茶楼论坛成都,小红楼论坛免费信息

中文版 | 藏文版
当前位置 - > 首页 > 科普教育 > 科普园地

【科普】小腿肌间静脉血栓:隐藏的血管?;?


日期:2025-05-15 17:20:19  点击:  所在栏目:科普园地

小腿肌间静脉血栓

隐藏的血管?;?/span>

在人体的血液循环系统中,静脉如同一条条默默流淌的“溪流”,承担着将血液运送回心脏的重要任务。然而,当“溪流”中出现阻碍——小腿肌间静脉血栓时,一场悄无声息的血管?;赡苷谠湍?。这种疾病常常被忽视,却可能带来严重后果,下面我们就来揭开它神秘的面纱。

一、什么是小腿肌间静脉血栓?

图片1.png


血栓形成示意图



小腿肌间静脉血栓(calf muscle venous thrombosis, CMVT),简单说,这是发生在小腿肌肉内部静脉丛(比如腓肠肌静脉丛、比目鱼肌静脉丛)里的血栓。它属于下肢远端深静脉血栓(IDDVT)的一种。这些静脉血管隐藏在小腿的肌肉群之间,负责收集肌肉活动时的静脉血。正常情况下,血液在这些血管中顺畅流动,但由于:1.长期制动,如长期卧床、久坐;2.恶性肿瘤、口服避孕药等引起高凝状态;3.肥胖、妊娠导致激素波动;4.手术或外伤引起血管损伤;5.老年人血管弹性下降、流速减缓等因素,导致血液中的某些成分会异常聚集、凝结,形成血栓。一旦血栓形成,就像在原本畅通的血管道路上设置了路障,阻碍血液正常回流,导致一系列问题。

二、隐匿的症状与潜在风险

小腿肌间静脉血栓之所以被称为“隐藏的杀手”,是因为它在发病初期症状非常隐匿,甚至可能毫无征兆。部分患者可能仅出现小腿轻微的酸胀、疼痛,这种不适很容易被当作普通的肌肉疲劳,休息一下就缓解了,因此常常被忽视。也有一些患者小腿会出现轻微肿胀,皮肤温度略微升高,但这些症状都不具有特异性,容易和其他腿部疾病混淆。

图片2.png


血栓脱落引发肺动脉栓塞


然而,这种看似“温和”的疾病,却隐藏着巨大的风险。如果不及时处理,血栓可能会逐渐增大、延伸,从小腿的肌间静脉蔓延到更大的静脉血管(9%。一旦血栓脱落,就如同“脱缰的野马”,会随着血流漂流,最终堵塞肺动脉,引发肺栓塞(35%)。肺栓塞是一种极其凶险的疾病,会导致患者突然出现呼吸困难、胸痛、咯血,严重时可在短时间内危及生命,致死率极高。此外,即使血栓没有脱落,长期存在的小腿肌间静脉血栓也可能引起下肢慢性静脉功能不全,导致腿部长期肿胀、疼痛、皮肤色素沉着,甚至形成难以愈合的溃疡,严重影响患者的生活质量。

三、如何判断自己是否有血栓?

临床表现:很多人可能完全没有症状!但有些人会感觉:


1

小腿酸胀、沉重、疼痛。


2

小腿发红、发热。


3

肿胀不适如何筛查?

1)D-二聚体检测:>500μg/L提示血栓信号

2)超声检查(准确率98%)表现:血管鼓胀变形呈"腊肠样"血流信号突然"消失"、探头按压血管无法完全压扁。

3)高危人群建议密切复查,如有血栓需动态观察血栓是否向大腿蔓延。

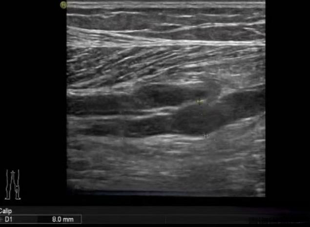
图片3.png
图片4.png


常规二维灰阶超声检查

小腿肌间静脉管腔扩张,充满低回声,探头加压无法压扁,提示血栓形成

彩色多普勒超声检查

管腔内未见彩色血流信号,进一步提示静脉管腔内血栓形成

一旦确诊小腿肌间静脉血栓,及时治疗至关重要。

四、防栓小贴士

01



不要长期卧床,动起来

每天做踝泵、抬腿等简单小腿运动,有助于促进血液循环。

02



控制基础?。ㄈ缣悄虿?、高血压)

基础病控制不佳,会增加血液黏稠度和血栓风险。

03



手术或住院后尽早下床活动

医生允许的情况下,越早活动,对预防血栓越有利。

04



必要时穿医用弹力袜

帮助静脉回流,特别适用于术后、孕期、久坐人群。

05



避免久坐不动,每小时站起来活动片刻

上班族和长途出行的人群尤其需要注意这一点。

06



戒烟

吸烟会损伤血管内皮,是血栓形成的重要危险因素。


CMVT虽然隐匿危险,但只要我们提高对它的认识,重视日常生活中的预防,及时发现异常症状并就医,就能够有效应对这种“隐藏的血管?;?,守护我们的血管健康,让血液循环的“溪流”始终畅通无阻。


关注身体、重视体检,是预防风险的第一步;听从专业建议、积极配合治疗,则是对健康最稳妥的守护。



(图片来源于网络,如有侵权请联系删除)


?????????   ?????????????

审 核:辛晓光

??????????  ??????????????
供 稿:功能科
??????????  ?????????????????????????

编 辑:宣传统战科

图片




分享到:
上一篇:【科普】腰椎间盘突出症的健康指导

下一篇:【科普】藏医药智慧赋能糖尿病管理

健康
热线

0971-8200897
7*24小时健康热线

0971-8201012
举报电话

hszyyjw@163.com
举报邮箱

关注
微信

关注公众号
顶部